CorNeat Vision's RESEE Clinical Trial Reaches 50% Enrollment Milestone with Promising Results
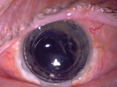
RA'ANANA, Israel, Sept. 2, 2025 /PRNewswire/ -- CorNeat Vision, an innovative ophthalmic medical device company, has announced a groundbreaking clinical achievement: the restoration of perfect vision in a patient blinded by corneal scarring caused by Shingles (Herpes Zoster Ophthalmicus). Following implantation of the CorNeat KPro, the company's artificial cornea, the patient regained perfect vision (6/6 or 20/20) and remains stable 11 months post-operation. In addition to the dramatic functional recovery, the procedure delivered a remarkable aesthetic transformation— the eye, once visibly ravaged by shingles, now looks remarkably natural and healthy.





Importantly, this patient was never a candidate for corneal transplantation, making the success of the CorNeat KPro even more significant. The device uniquely integrates with the eye wall, beneath the conjunctiva, enabling stable and long-term implantation without relying on donor tissue.
"Restoring 20/20 vision to a blind eye with the CorNeat KPro is a powerful testament to how innovation and vision come together to change lives. At Beilinson's Ophthalmology Department, we are committed to leading with cutting-edge technologies, and this breakthrough reflects our mission to bring the future of eye care into the present." said Prof. Irit Bahar, Head of Ophthalmology, Beilinson Hospital
"This is a landmark achievement," said Dr. Gilad Litvin, CorNeat Vision's Co-Founder and Chief Medical Officer. "Delivering sight and aesthetics to an eye once beyond help highlights the sheer impact of our artificial cornea. This breakthrough not only restores vision for patients with untreatable corneal conditions but also delivers hope to millions of blind patients living in regions where donor tissue is scarce."
CorNeat Vision CEO, Almog Aley-Raz, will be presenting the CorNeat KPro and the interim results of the RESEE study in the upcoming European Society of Cataract and Refractive Surgery Annual Meeting (ESCRS) iNovation Day on Sep 12 in Copenhagen.
About CorNeat KPro: The CorNeat KPro is a synthetic corneal implant that uniquely integrates with the eye wall. The device offers the following advantages
- No donor tissue required – eliminates dependency on corneal donations.
- Quick procedure – vision restored immediately after a one-hour surgery.
- High optical quality – delivers consistent, deterministic visual performance.
- Seamless integration – biologically integrates with the eye wall for long-term stability.
- Long shelf life – supports global distribution and accessibility.
The CorNeat KPro project is supported by European Innovation Council as well as by a U.S. Army Project Award.
About The RESEE trial: The RESEE trial is designed to enable both FDA 510(k) clearance and CE Marking is currently being conducted in leading clinical centers in Canada, France, India, Israel and The Netherlands. The trial is planned to expand and include a few US clinical centers in 2026. For more information about the RESEE trial and contact details of participating clinical sites visit www.clinicaltrials.gov
About CorNeat Vision: CorNeat Vision is a leading ophthalmic medical device company developing synthetic, tissue-integrating implants to address unmet needs in cornea, glaucoma, and ocular surface surgery. The Company's product portfolio includes the CorNeat KPro (artificial cornea), EverPatch+ (synthetic scleral patch), and eShunt (glaucoma drainage device), all leveraging the company's proprietary EverMatrix™ technology. This biocompatible and nondegradable material enables seamless integration with living tissue, offering long-lasting solutions that restore and preserve vision.
For more information, visit CorNeat Vision.
Contact: [email protected]
Video - https://www.youtube.com/watch?v=6FiZuECbZhI
Photo - https://mma.prnewswire.com/media/2762637/CorNeat_Vision_2.jpg
Photo - https://mma.prnewswire.com/media/2762638/CorNeat_Vision_3.jpg
Photo - https://mma.prnewswire.com/media/2762639/CorNeat_Vision_4.jpg
Photo - https://mma.prnewswire.com/media/2762640/CorNeat_Vision_5.jpg
Logo - https://mma.prnewswire.com/media/972189/5487181/CorNeat_Logo.jpg
SOURCE CorNeat Vision

WANT YOUR COMPANY'S NEWS FEATURED ON PRNEWSWIRE.COM?

Newsrooms &
Influencers

Digital Media
Outlets

Journalists
Opted In
Share this article